U phổi có phải ung thư không? Phân biệt u phổi lành tính và ác tính
“U phổi có phải ung thư không?” là câu hỏi khiến nhiều người lo lắng khi nhận được kết quả chụp X-quang hoặc CT phát hiện một “nốt” hay “khối” trong phổi. Trên thực tế, không phải mọi u phổi đều là ung thư. Tuy nhiên, việc xác định bản chất khối u cần dựa vào đánh giá chuyên sâu thay vì chỉ dựa trên hình ảnh ban đầu.
Bài viết dưới đây giúp bạn hiểu rõ bản chất u phổi, cách phân biệt u lành tính và u ác tính, cũng như khi nào cần lo ngại.

U phổi là gì?
U phổi là thuật ngữ chung chỉ một khối mô phát triển bất thường trong nhu mô phổi. Trên hình ảnh học, tổn thương này có thể được mô tả là “nốt phổi”, “khối phổi” hoặc “tổn thương choán chỗ”.
Dựa vào bản chất tế bào học, u phổi được chia thành hai nhóm chính:
- U phổi lành tính
- U phổi ác tính (ung thư phổi)
Vì vậy, câu trả lời ngắn gọn cho câu hỏi “u phổi có phải ung thư không?” là: không phải tất cả u phổi đều là ung thư, nhưng một số u phổi có thể là ung thư và cần được đánh giá kỹ lưỡng.
U phổi lành tính: Thường ít nguy hiểm hơn
U phổi lành tính là những khối tăng sinh bất thường của tế bào trong phổi nhưng không xâm lấn mô lân cận, phá hủy cấu trúc phổi hoặc di căn đến cơ quan khác. Tuy được xếp vào nhóm “ít nguy hiểm hơn”, u phổi lành tính vẫn cần được đánh giá cẩn thận vì trên hình ảnh ban đầu, một số tổn thương có thể khó phân biệt hoàn toàn với u ác tính.
Về mặt cơ chế, u lành tính thường:
- Tăng trưởng chậm qua nhiều tháng hoặc nhiều năm
- Không xâm lấn mạch máu, hạch bạch huyết hoặc cấu trúc lân cận
- Không di căn xa
- Có ranh giới tương đối rõ với nhu mô phổi xung quanh
Chính vì tốc độ phát triển chậm nên phần lớn người bệnh không có triệu chứng rõ ràng. Khối u chỉ được phát hiện khi chụp X-quang hoặc CT ngực vì một lý do khác, ví dụ khám sức khỏe định kỳ hoặc kiểm tra bệnh lý hô hấp.
Các loại u phổi lành tính thường gặp:
- Hamartoma phổi (loại lành tính thường gặp nhất)
- U tuyến phế quản lành tính
- U sợi, u mỡ trong phổi
- U mạch máu lành tính
Trong đa số trường hợp, nếu kích thước nhỏ, không có yếu tố nguy cơ cao (hút thuốc lá lâu năm, tiền sử ung thư), không tăng kích thước theo thời gian, bác sĩ sẽ ưu tiên theo dõi định kỳ bằng CT ngực thay vì phẫu thuật ngay. Điều này giúp tránh can thiệp không cần thiết và giảm rủi ro cho người bệnh.
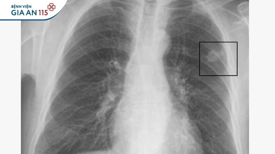
Trên hình ảnh ban đầu, tổn thương có thể khó phân biệt hoàn toàn với u ác tính (Ảnh minh họa)
U phổi ác tính (ung thư phổi): Nguy cơ cần được loại trừ
Trái ngược với u lành tính, u phổi ác tính (ung thư phổi) là tình trạng các tế bào trong nhu mô phổi tăng sinh mất kiểm soát, có khả năng xâm lấn cấu trúc lân cận (màng phổi, thành ngực, mạch máu lớn) và di căn đến các cơ quan xa như não, gan, xương hoặc tuyến thượng thận.
Đây là nhóm bệnh lý có tiên lượng phụ thuộc rất lớn vào thời điểm phát hiện. Ở giai đoạn sớm, khối u còn khu trú trong phổi và có thể điều trị triệt để. Khi đã di căn, việc điều trị chủ yếu nhằm kiểm soát bệnh và kéo dài thời gian sống.
Về mặt bệnh học, u phổi ác tính thường có những đặc trưng:
- Tốc độ tăng trưởng nhanh hơn so với tổn thương lành tính
- Xâm lấn mô xung quanh thay vì chỉ đẩy lệch cấu trúc
- Có khả năng xâm nhập hệ bạch huyết và mạch máu
- Có nguy cơ di căn xa ngay cả khi kích thước khối u chưa quá lớn
Đặc tính xâm lấn và di căn chính là yếu tố khiến ung thư phổi trở thành bệnh lý nguy hiểm, chứ không chỉ vì sự hiện diện của một “khối u” trong phổi.
Trên CT ngực, bác sĩ sẽ phân tích nhiều tiêu chí để đánh giá khả năng ung thư. Một số dấu hiệu làm tăng mức độ nghi ngờ gồm:
- Kích thước lớn hơn 8 mm (đặc biệt >20 mm nguy cơ cao hơn rõ rệt)
- Bờ không đều, có tua gai (spiculated margin)
- Mật độ không đồng nhất, có vùng hoại tử trung tâm
- Tăng kích thước nhanh qua các lần chụp theo dõi (thời gian nhân đôi khối u ngắn)
- Có hạch trung thất kèm theo
Ngoài đặc điểm khối u, nguy cơ ác tính còn phụ thuộc vào hồ sơ lâm sàng:
- Tiền sử hút thuốc lá lâu năm hoặc tiếp xúc khói thuốc thụ động
- Tuổi trên 50
- Tiếp xúc nghề nghiệp với amiăng, hóa chất độc hại
- Tiền sử gia đình có người mắc ung thư phổi
- Bệnh phổi mạn tính như COPD, xơ phổi
Sự kết hợp giữa yếu tố nguy cơ cao và đặc điểm hình ảnh nghi ngờ sẽ làm tăng xác suất khối u là ác tính.

Xem thêm: Dấu hiệu u phổi: Nhận biết sớm những biểu hiện dễ bị bỏ qua
Làm sao để biết u phổi có phải ung thư không?
Tóm lại, để biết u phổi có phải ung thư không, cần dựa vào quy trình chẩn đoán nhiều tầng, từ hình ảnh học đến mô bệnh học. Chỉ khi có kết quả giải phẫu bệnh, mới có thể khẳng định chính xác bản chất khối u và xây dựng phác đồ điều trị phù hợp.
Dưới đây là các phương pháp thường được sử dụng để chẩn đoán u phổi:
Chụp CT ngực độ phân giải cao
CT ngực là bước đánh giá nền tảng và quan trọng nhất sau khi phát hiện bất thường trên X-quang. Phương pháp này cho phép đo chính xác kích thước khối u (mm); phân tích hình dạng, bờ, mật độ; đánh giá sự xâm lấn mô lân cận và phát hiện hạch trung thất hoặc tổn thương phổi khác đi kèm nếu có.
CT còn giúp theo dõi sự thay đổi kích thước theo thời gian. Nếu khối u tăng nhanh qua các lần chụp cách nhau vài tháng, nguy cơ ác tính sẽ cao hơn. Trong nhiều trường hợp nốt nhỏ (<6 mm) và nguy cơ thấp, bác sĩ có thể chỉ định theo dõi định kỳ thay vì can thiệp ngay.
Tại Bệnh viện Gia An 115, hệ thống máy CT SOMATOM Force VB30 thế hệ mới đã được đưa vào sử dụng, mang đến khả năng khảo sát chi tiết cấu trúc phổi và các mô xung quanh ở cấp độ milimet. Thiết bị này tạo ra những lát cắt siêu mỏng chỉ 0,4 mm và tái tạo hơn 100.000 lát ảnh, cho phép phát hiện những tổn thương nhỏ, kể cả nốt u phổi kích thước rất nhỏ – điều mà nhiều máy CT truyền thống khó đáp ứng được. Nhờ vậy, bác sĩ có thể chẩn đoán sớm, đánh giá chính xác bản chất tổn thương và xây dựng kế hoạch điều trị phù hợp ngay từ giai đoạn khởi phát, giúp tăng cơ hội điều trị hiệu quả và cải thiện tiên lượng cho người bệnh.

Xem thêm: 5 ưu điểm nổi bật của siêu máy CT SOMATOM Force VB30 tại Bệnh viện Gia An 115
Chụp PET-CT
PET-CT là phương pháp kết hợp giữa hình ảnh giải phẫu (CT) và hình ảnh chuyển hóa (PET). Kỹ thuật này sử dụng chất đánh dấu phóng xạ để đánh giá mức độ tiêu thụ glucose của mô. Tế bào ung thư thường có chuyển hóa cao hơn tế bào bình thường, do đó nếu khối u “bắt thuốc” mạnh thì nghi ngờ ác tính cao hơn còn nếu hoạt tính chuyển hóa thấp thì khả năng lành tính cao hơn.
Tuy nhiên, PET-CT không hoàn toàn tuyệt đối. Một số tổn thương viêm hoặc lao cũng có thể tăng chuyển hóa, gây dương tính giả. Vì vậy, kết quả luôn cần được diễn giải trong bối cảnh lâm sàng cụ thể.
Sinh thiết – tiêu chuẩn vàng để chẩn đoán xác định
Dù CT hay PET-CT có gợi ý mạnh đến đâu, chẩn đoán ung thư phổi chỉ được xác nhận khi có kết quả giải phẫu bệnh. Sinh thiết giúp xác định khối u là lành tính hay ác tính, phân loại ung thư (tế bào nhỏ, không tế bào nhỏ…), làm xét nghiệm đột biến gen phục vụ điều trị nhắm trúng đích (nếu là ung thư).
Tùy vị trí và kích thước khối u, bác sĩ có thể lựa chọn nội soi phế quản sinh thiết (với u trung tâm), chọc kim xuyên thành ngực dưới hướng dẫn CT (với u ngoại vi) và phẫu thuật nội soi lồng ngực khi cần thiết.
Kết luận
U phổi có phải ung thư không? Câu trả lời là: không phải mọi u phổi đều là ung thư, nhưng mọi u phổi đều cần được đánh giá cẩn thận để loại trừ nguy cơ ác tính.
Thay vì hoang mang, người bệnh nên thăm khám chuyên khoa hô hấp hoặc ung bướu để được chỉ định chẩn đoán phù hợp. Phát hiện sớm và theo dõi đúng cách là yếu tố quyết định tiên lượng lâu dài.